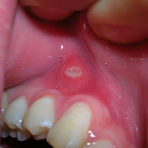
Online-Hautarzt › Behandlungen › Aphthen
Aphthen - Behandlung und Diagnose vom Online-Hautarzt erhalten
Jetzt ärztliche Hilfe bei Hautproblemen erhalten – Fotos hochladen, kurzen Fragebogen ausfüllen. Du erhältst direkt innerhalb von 24h eine Diagnose und Therapieplan von unseren HautärztInnen. Kein Videogespräch, kein Warten und ohne Termin.
- Hautarzt-Diagnose < 24 Stunden
- Ab 25€ inkl. Verordnung und Nachsorge
- Erstattungsfähig für Privatpatienten




